Media
With Innovative Methodology: HKU Identifies the Early Target Cells of SARS Virus
07 Mar 2011
Infection with Severe Acute Respiratory Syndrome Coronavirus (SARS-CoV) results in rapid viral replication and shedding into saliva droplets. The critical role of saliva droplets in viral transmission has been known, however, the source of high viral loads in the saliva remains elusive. The AIDS Institute of The University of Hong Kong Li Ka Shing Faculty of Medicine collaborated with the Chinese Academy of Medical Sciences (CAMS), Tsinghua University and Tulane University to answer this question through adopting the HIV/AIDS research methodology. After several years of research, they found the epithelial cells lining the salivary gland ducts are the early target cells of SARS-CoV infection in the upper respiratory tract. These early target cells could be a significant source of viral replication and spread to other areas of the respiratory tract within 48 hours after infection. These results were recently published in the top journal of the field, Journal of Virology.
Dr. Zhiwei CHEN, Director of the AIDS Institute of The University of Hong Kong Li Ka Shing Faculty of Medicine who hosts the study says, "The outbreak of SARS began in 2003and it quickly spread over the world. To investigate the rapid viral shedding into saliva droplets, it was necessary to seek out and understand the early target cells of SARS infection. We creatively applied the HIV/AIDS research methodology to examine SARS, which finally brought to encouraging results in our research."
Methodology
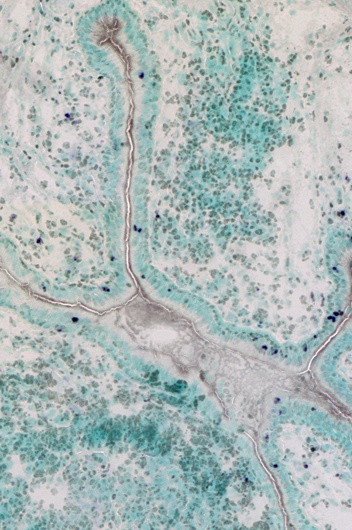
To identify the early target cells of SARS-CoV infection, scientists of the AIDS Institute of The University of Hong Kong Li Ka Shing Faculty of Medicine cultured a single-cycle pseudotyped hybrid virus. The hybrid virus is generated with Simian immunodeficiency virus (SIV) and a pathogenic SARS-CoV, which can only cause one-off infection and cannot replicate, while the infected cells can still be detected. This allows the scientists to investigate the early target cells upon SARS infection.
Research findings
Scientists inoculated the hybrid virus into monkeys, a type of Chinese rhesus macaque animal models, so as to analyze the spread of virus in the respiratory tract within 48 hours after infection. As such, they found widespread distribution of the target cells for SARS-CoV throughout the respiratory tract. However, not all target cells support the early infection and production of contagious virus. Further analysis led to the discovery that the epithelial cells lining the salivary gland ducts are the early target cells of SARS-CoV infection in the upper respiratory tract. These early target cells could be a significant source of viral replication and spread to other areas of the respiratory tract soon after infection, as was seen to occur within 48 hours in the monkey model.
Another key researcher of the study, Dr. LIU Li, Research Assistant Professor of the AIDS Institute of The University of Hong Kong Li Ka Shing Faculty of Medicine says, "The study indicates that the early replication of SARS virus in the epithelial cells of the upper respiratory tract is important to its transmission. The study reveals the mechanism of the rapid spread of SARS."
"This finding provides a clearer picture in understanding the mechanism of SARS early infection and transmission. On the other hand, the study also provides solid ground for applying the HIV/AIDS research methodology to the study of other viruses, allowing scientists to simulate the spread of SARS or other viruses alike, such as other coronavirus and highly pathogenic influenza viruses, in the upper respiratory tract in a more effective and accurate way. The study indeed has important implications for developing strategies for early diagnosis, prevention and therapy." Dr. Zhiwei CHEN concluded.
The study is jointly conducted by AIDS Institute, Department of Microbiology and Research Centre of Infection and Immunology of The University of Hong Kong Li Ka Shing Faculty of Medicine, Chinese Academy of Medical Sciences (CAMS), Tsinghua University and Tulane University.