Media
HKUMed researchers discovered novel coronavirus (SARS-CoV-2) can infect more efficiently than SARS-CoV in human airways and eyes,
implicating that eyes may be an important route of SARS-CoV-2 human infection
08 May 2020
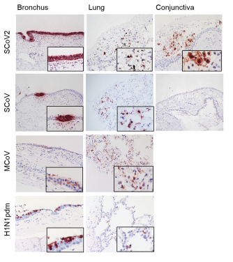
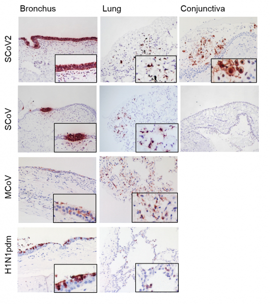
Human respiratory tract and eye explants: The image shows the coronavirus and influenza virus infected cells (in red colour) in human bronchus, lung and conjunctiva in explants culture. (From top to bottom) SCoV2 represents SARS-CoV-2; SCoV as SARS-CoV; MCoV as MERS-CoV; and H1N1pdm as 2009 pandemic human H1N1 virus.
The human respiratory tract and conjunctiva explants used in the study are human tissues (like mini respiratory tract and eye) grown outside human body in the laboratory. Explants tissues are able to maintain normal histology for at least 96 hours under specialised culture medium and condition. Virus infection was carried out in a Biological Safety Level-3 (BSL-3) laboratory in the School of Public Health, LKS Faculty of Medicine of the University of Hong Kong (HKUMed).
Members of the research team from HKUMed include: (from left to right) Professor Malik Peiris, Tam Wah-Ching Professor in Medical Science and Chair Professor of Virology, School of Public Health; Professor John Nicholls, Clinical Professor, Department of Pathology; Dr Michael Chan Chi-wai, Associate Professor, School of Public Health; and Dr Kenrie Hui Pui-yan, Research Assistant Professor, School of Public Health.
Understanding how SARS-CoV-2 infects humans is essential in optimising measures for infection prevention and control of transmission. Over the past 15 years, researchers at the School of Public Health, LKS Faculty of Medicine of the University of Hong Kong (HKUMed) has developed methods for culturing tissues from the human respiratory tract and eyes in the laboratory and applied them to study respiratory viruses such as avian flu H5N1, H5N6, H7N9, the 2009 pandemic H1N1 and MERS-CoV. In a recent study, the team applies the methods to study novel coronavirus (SARS-CoV-2) and becomes the first among research teams worldwide to provide evidence that SARS-CoV-2 can infect both the upper human airways and conjunctiva (the cells lining the surface of the eye), and that SARS-CoV-2 is much more efficient than SARS coronavirus (SARS-CoV) in infecting human airways and the conjunctival surfaces of the eye. The findings are now published in The Lancet Respiratory Medicine, a leading prestigious journal [link to the publication].
In this study, Dr Michael Chan Chi-wai, Associate Professor of the School of Public Health, HKUMed and his research team compared the infection of SARS-CoV-2, SARS-CoV and the influenza viruses H5N1 and H1N1pdm2009 using human upper respiratory tract and eye tissues in a Biological Safety Level-3 (BSL-3) laboratory. They found that SARS-CoV-2 is much more efficient in infecting the human conjunctiva and the upper respiratory airways than SARS-CoV, and its level of infection is comparable to what is observed in the 2009 pandemic H1N1. Taken together, this explains the higher transmissibility of the novel pandemic SARS-CoV-2 than that of SARS-CoV. “This study also highlights the fact that eyes may be an important route of SARS-CoV-2 human infection,” said Dr Chan.
In a previous study, the research team discovered that SARS-CoV-2 can remain alive for long periods (days) on smooth surfaces such as stainless steel, glass and plastic.1 The new finding highlights the possibility that infectious virus can be spread from such contaminated surfaces by hands, when a person touches the surfaces and rubs his/her eyes afterwards. The finding implicates that it is vital to avoid touching the eyes when in public areas, and regular hand washing with soap and water or cleaning hands with alcohol hand rub as an essential measure to prevent accidental transfer of SARS-CoV-2 from contaminated surfaces to human eyes and noses.
“There is a need for studies like those done by this research team, which are inclusive of diverse viruses previously associated with human pandemics, and viruses believed to have the potential to do so, that use a range of relevant respiratory and non-respiratory tissue and cell types that might support virus replication following multiple exposure routes,” commented Dr Jessica A Belser, an epidemiological expert of National Center for Immunization and Respiratory Diseases (NCIRD), the Centers for Disease Control and Prevention (CDC), in the journal. “These laboratory studies provide crucial context for interpretation of what makes each virus unique and how best to develop medical countermeasures to improve human health.”
About the research team
The research was conducted by a team led by Dr Michael Chan Chi-wai, Associate Professor, School of Public Health, HKUMed. The research team included Dr Kenrie Hui Pui-yan, Research Assistant Professor; Professor Leo Poon Lit-man, Professor and Head of Division of Public Health Laboratory Sciences; Professor Malik Peiris, Tam Wah-Ching Professor in Medical Science and Chair Professor of Virology, School of Public Health, HKUMed; and Professor John Nicholls, Clinical Professor, Department of Pathology, HKUMed.
The project was supported by the US National Institute of Allergy and Infectious Diseases (NIAID) under Centers of Excellence for Influenza Research and Surveillance (CEIRS) contract no. HHSN272201400006C, the Theme Based Research Scheme (Ref: T11-705/14N) of the Research Grants Council under University Grants Council, and a Commissioned Grant from the Health and Medical Research Fund (Ref: HKS-18-B03), Food and Health Bureau, Government of Hong Kong Special Administrative Region.
About the School of Public Health, HKUMed
The School of Public Health, LKS Faculty of Medicine of The University of Hong Kong has a long and distinguished history in public health education and high impact research. With world leading research in infectious diseases as well as on non-communicable diseases of both local and global importance, the School has made significant contributions through its research and advocacy to improve the health of populations and individuals, both locally and globally. The School is a leading research and teaching hub in public health on influenza and other emerging viruses, control of non-communicable and infectious diseases, tobacco control, air pollution, psycho-oncology, behavioural sciences, exercise science, life-course epidemiology, and health economics, health services planning and management. This work has informed international (e.g. the US Food and Drug Administration, Health Canada, the World Health Organization), national and local public health policies.
For the latest update from HKUMed on COVID-19:
http://www.med.hku.hk/en/covid-19
Media enquiries
Please contact LKS Faculty of Medicine of The University of Hong Kong by email (medmedia@hku.hk).
1 Alex W H Chin, Julie T S Chu, Mahen R A Perera, Kenrie P Y Hui, Hui-Ling Yen, Michael C W Chan, Malik Peiris, Leo L M Poon, Stability of SARS-CoV-2 in different environmental conditions, The Lancet Microbe, 2020, ISSN 2666-5247, https://doi.org/10.1016/S2666-5247(20)30003-3.