Media
HKU School of Public Health and Department of Pathology
use new therapeutic strategy to improve the treatment of MERS
05 Jun 2018
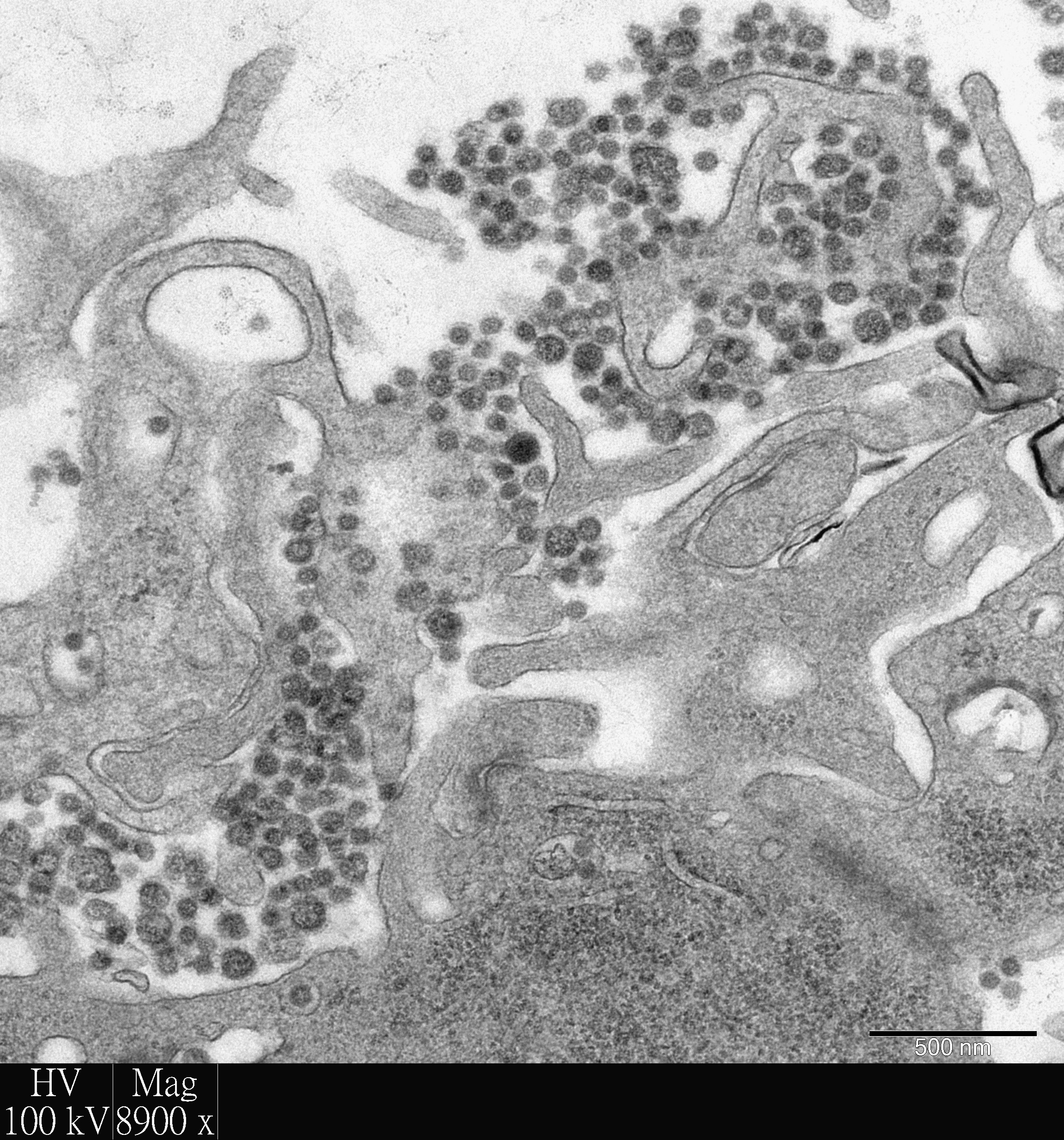
Researchers at the Li Ka Shing Faculty of Medicine of The University of Hong Kong (HKU) used their world-leading human respiratory explant culture system to investigate emerging respiratory viral infections, and in their latest publication focused their attention to improve the treatment of the deadly Middle East Respiratory Virus Syndrome (MERS). It is demonstrated that a combination of two currently licensed agents – interferon and cyclosporine, was able to significantly inhibit virus replication and tissue damage by the MERS coronavirus in human bronchus and lung, when compared to single agent treatment or no treatment. Their findings are now published in Anti-Viral Research, the leading journal of anti-viral treatment (link to the publication).
The explant culture system of the human respiratory tract was developed by Professor John Nicholls of HKU Department of Pathology, in conjunction with Dr Michael Chan, Dr Renee Chan, Professor Leo Poon and Professor Malik Peiris at the School of Public Health, in 2005, in order to develop a laboratory based method for studying severe respiratory virus infections with a more faithful replication of disease mechanisms and treatment outcomes in humans. The system is proved to be more effective for the study than alternative experimental methods, such as cell lines grown in culture or experimental animals, as the latter often fail to reproduce the situation in human respiratory tract.
The explant culture system uses respiratory tissues removed from patients undergoing surgery at Queen Mary Hospital, which are normally discarded but are now reserved with ethical approval for the purpose of research. After over eight months of optimization of the study, this system is now accepted by the World Health Organization (WHO) as a model for pandemic risk assessment of animal influenza virus infections, and has also been utilized by biotechnology companies to evaluate potential antiviral compounds. Funding from the Food and Health Bureau, HKSAG and The Research Grants Council, University Grants Committee, has enabled the system to be developed, optimized and maintained.
Though Hong Kong has not been affected by MERS infections, the virus has been causing a major problem in the Middle East, where infection is associated with up to a 39% mortality rate. As it is a virus related to SARS virus, MERS is regarded by the WHO as one of the more concerning threats to global public health. The findings from this study will provide a basis for further research to assess whether this new therapeutic strategy should be tested in humans with MERS.
About the research team
This study was led by Professor John Nicholls, Clinical Professor, Department of Pathology, HKU; Dr Michael Chan, Assistant Professor, School of Public Health, HKU; the research team included Mr. Li Hung Sing, PhD student of School of Public Health, HKU, Dr Kenrie Hui, Research Assistant Professor, School of Public Health, HKU; Professor Malik Peiris, Tam Wah-Ching Professor in Medical Science and Chair Professor of Virology, School of Public Health, HKU.
Media enquiries
Please contact Li Ka Shing Faculty of Medicine of The University of Hong Kong by email (medkefa@hku.hk).
Please visit the website at http://www.med.hku.hk/news/ for press photos.

