Media
Public Warned about Tooth Fractures from Snacking
On Seeds and Nuts during Chinese Lunar New Year
29 Jan 2016
Traditional foods like sesame seed balls as well as melon seeds and nuts are often served during the Chinese Lunar New Year for their auspicious symbols and meaning, but the dental school at the University of Hong Kong has warned that these hard foods can be tough on the teeth, causing fissures (fine crack lines) and fractures.
Professor Gary Shun-pan Cheung, Clinical Professor in Endodontics at the Faculty of Dentistry, said cases of patients complaining about chewing pain and unexplained sensitivity to hot and cold, all symptoms of the “cracked tooth syndrome”, often peaked during the festive season from January to March.
In 2015, 9 cases of “cracked tooth” were referred to the Faculty of Dentistry’s Endodontics Department for follow up, the majority (7 cases, or 78%) of which were received in the first quarter of the year.
Most of these were in the 35 to 55 age range, with the posterior teeth (molars and premolars) being more commonly involved.
Professor Cheung said factors causing incomplete tooth fractures (i.e. cracked tooth) are various, which could be due to erosive wear and attrition, bruxism, dental trauma, or masticatory accidents like unexpected biting on a hard object.
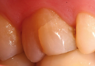
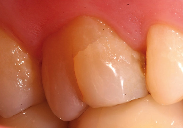
“These created tiny crack-lines on the teeth, some on the tooth surface, the enamel; some went deeper into the dentine, and others may progress and extend into the dental pulp. When the crack extends into dentine, pain may be felt. When it propagates into the pulpal area, pain would become more severe and often is referred to other areas innervated by the trigeminal nerve on the same side,” he said.
These problems, he said, could exacerbate particularly when people are unaware of the problem and consume lots of hard foods like seeds and nuts.
“The fissures or crack-lines are not apparent and these hidden, incomplete fractures are hardly visible to the naked eyes. Yet, with each bite to open the shell of melon seeds, these fissures are expanded and the pain became more acute. The same goes for sesame seeds being lodged at the bottom of the adjacent inclines (called “occlusal fissure”) of the occluding surface of posterior teeth; as it is squashed during chewing the cusps of the tooth would be wedged apart, expanding a crack. Sometimes the discomfort could be so intense that the patients could hardly eat and sleep at all,” he said.
Apart from the pain and tooth sensitivity, a broken piece may fall off from the tooth.
In more severe cases where the cracks were contaminated, isolated deep pockets (a special form of periodontal disease) developed; as a result the cracked tooth may have to be extracted to forestall periodontal bone loss and further potential complications.
Other restorative options include fitting a full-coverage crown that encloses the entire crack, in a way to protect it from bacterial colonization and further widening of the gap.
In the United States, it was estimated that one posterior tooth in every 23 adults per year was fractured, while 44% of the crowns placed in the country were done with the objective to prevent cracking of teeth.
He said public awareness about cracked tooth syndrome should be raised: on the one hand, the elderly population is growing and that there will be more accompanying tooth wear and surface defects on the teeth; on the other, it is difficult for patients to locate the pain arising from dental cracks, and thus they should be aware of the symptoms related to cracked tooth syndrome.
Locating the cracked tooth, he said, was a challenge for dentists given that the crack was too tiny to be identified on a radiograph.
Due to the uncertainty of pinpointing the symptoms, the cracked tooth syndrome can easily be misdiagnosed. A surgical operating microscope, he said, would be the ideal tool to examine the tooth surface and identify the crack.
He advised patients to seek early diagnosis and proper evaluation and treatment with a dentist.
Some advice for consumers to avoid inducing a cracked tooth during the Chinese Lunar New Year:
- Avoid using central incisors to open the shell of seeds
- Reduce the amount of hard nuts and foods with a hard and crispy skin, e.g. sesame balls
- Spread the chewing to both sides of the mouth
- For those who like muesli for breakfast, it is advisable to soak the cereals well before consumption
For media enquiries, please contact:
HKU Faculty of Dentistry, Tel: 2859 0494; E-mail: dentke@hku.hk


